Composite Bonding from only £270 per tooth in Forfar
Composite bonding is an excellent way of enhancing the overall appearance of your smile, restore chipped, stained, spaced or misaligned teeth.
- No filing
- No drilling
- No damage

Proudly partnered with


.png)

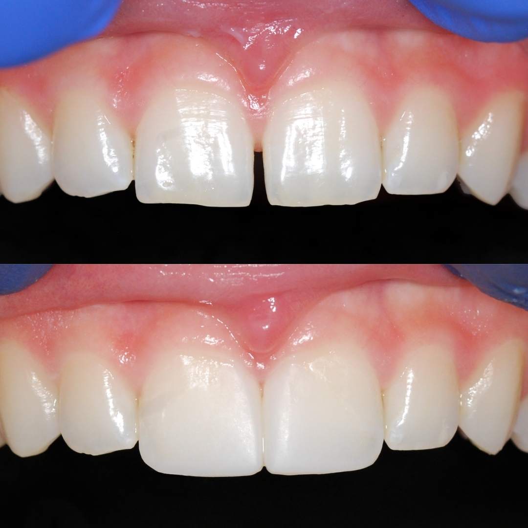
Image Gallery
Take a look at some of our patient results
Transform your smile
Ready for the perfect smile that you’ve always dreamed of? Composite bonding could be the perfect solution for you.
Same day treatment
Your treatment is carried out in a matter of hours from our highly skilled dentists.
Long Lasting
Composite bonding can be an affordable option for many patients and results can last 5 - 7 years.
Step-by-step treatment plans
Consultation
A free cosmetic consultation to discuss your concerns and plan your smile makeover.
Colour match
Your dentist chooses a composite resin that matches the colour of your natural teeth.
Application
Composite edge bonding is applied to the surface of your teeth with no injections or drilling involved.
Polishing
Restoration receives a final shaping and polishing before leaving. Treatment is completed in one visit to the practice and should last 3-5 years.
This is determined by where the composite is placed on the tooth. Edge bonding is placed on the edge and sides of the tooth to fill in spaces and lengthen/straighten the edges of teeth. Composite veneers cover the full front aspect of the teeth which masks the entire surface of the front of the tooth. This is a better option for people who would like bigger changes to the overall shapes and colour of their teeth, or for teeth which have cracks and poor surface texture which would be best covered to create a better cosmetic result.
If the spaces are not too large and a symmetrical, even outcome can be achieved with composite bonding then yes this can be done.
On average, composite bonding lasts 3-5 years or longer if looked after well. This is subject to the patient attending for regular maintenance and polishing appointments.
Composite veneers can be used to lighten the shade of your teeth as they cover the entire front surface of your teeth. This is a good option for patients that have internal staining of their teeth or surface anomalies such as cracks which would like to be covered.
Is composite bonding right for you?
You may be a good fit for composite bonding if you:
- Want to enhance the appearance of your tooth, close gaps, and improve your overall smile.
- Have a damaged, chipped, fractured, or decayed tooth (or teeth).
- Need to cover an exposed tooth root.
You may not be a good candidate for bonding if:
- Your bite is improperly aligned and needs adjustment, for example, from an overbite.
- There is not adequate material remaining in your natural tooth to build up from.


Why should I choose Castle Street Dental for composite bonding treatment?
What differentiates Castle Street Dental from other dental clinics is our experienced dental team. All of our dentists are fully trained, highly skilled and have helped countless patients achieve the smile of their dreams. We have attended well-renowned, specialised cosmetic dentistry courses across the country.
By investing in the latest dental technology and staying up to date with the most cutting-edge techniques and procedures, Castle Street Dental will continue to help patients transform their smile with composite bonding at an affordable price.
Are you ready for the perfect smile that you’ve always dreamed of? Contact us today for a free smile consultation and book in for fast, safe treatment to transform your smile.
